dott. Alessandro Nisio
Lunedì e Mercoledì 9.00 13.00 - 15.00 19.30
Martedì 15.00 19.30 - Giovedì e Venerdì 9.00 17.00
+39 080 501 0553   info@studionisio.it
  • Home
  • About
    • Staff
  • Clinical
  • Educational
    • Corsi
    • Iscrizione
    • Restricted Area
    • Congressi
  • News
  • Contatti

CONSERVATIVA
E RESTAURATIVA
ESTETICA

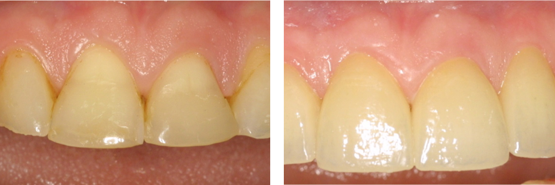
È quella branca dell’odontoiatria che si occupa di curare il dente per ripristinare la sua funzione nella masticazione e anche nell’estetica del sorriso. Le procedure si avvalgono di materiale a base di resine sintetiche del tutto tollerate dall’organismo e capaci non solo di risolvere la patologia di base (carie, frattura, discromia o colore alterato, usura, ecc..) con degli “intarsi” che sostituiscono le vecchie otturazioni, ma anche di modificare la forma del dente originario per motivi estetici, con le cosiddette “faccette”, delle unghie di ceramica dallo spessore sottilissimo che si incollano sulla superficie visibile della corona

Se ti interessa
ricevere
informazioni
sull’argomento,
scrivici!

  • Consenso alla raccolta e alla gestione dei dati personali Con la compilazione di questo modulo si autorizza IRFOCOM s.r.l. e le societa' ad essa collegate a inserire il nominativo nel proprio indirizzario. In ogni momento, ai sensi del’art. 13 - Legge 31/12/1996 n. 675, si potra' aver accesso ai propri dati, chiederne la modifica o la cancellazione oppure opporsi al loro utilizzo scrivendo a IRFOCOM s.r.l. Bari tel. 080.501.05.53 - e-mail: info@cfmobari.it

© 2015 Nisio. Tutti i diritti riservati - Designed by Maggipinto Agency