dott. Alessandro Nisio
Lunedì e Mercoledì 9.00 13.00 - 15.00 19.30
Martedì 15.00 19.30 - Giovedì e Venerdì 9.00 17.00
+39 080 501 0553   info@studionisio.it
  • Home
  • About
    • Staff
  • Clinical
  • Educational
    • Corsi
    • Iscrizione
    • Restricted Area
    • Congressi
  • News
  • Contatti

IMPLANTOLOGIA

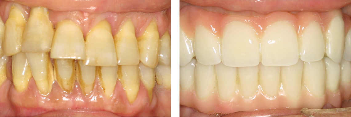
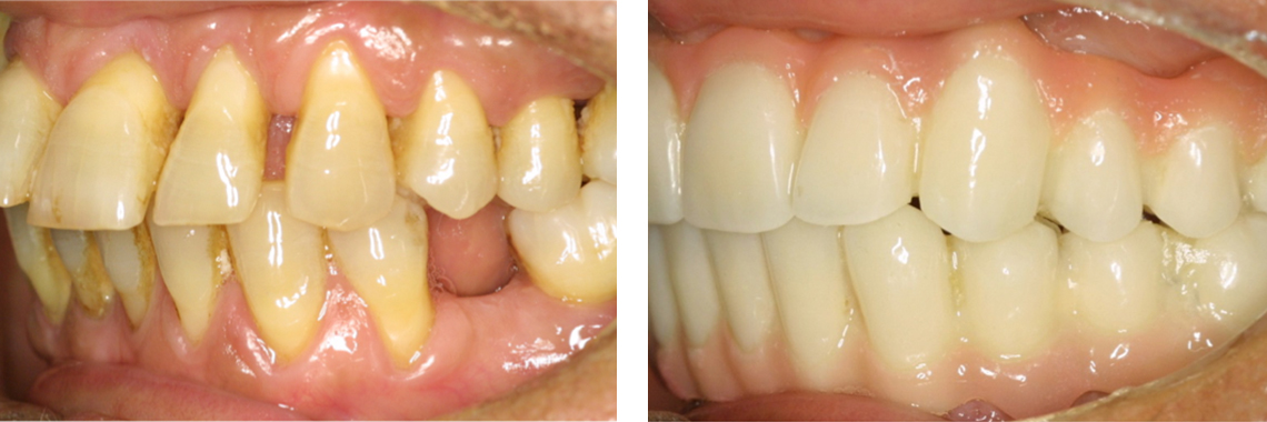
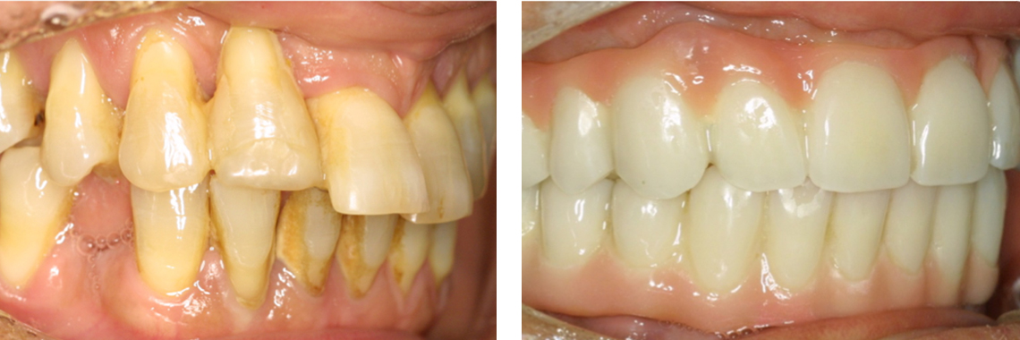
La branca che si occupa di sostituire il dente perduto con una “vite” che viene inserita nell’osso e alla quale si connette la restante corona dentaria. Molto di “moda” negli ultimi 10 anni, in realtà le indicazioni a sostituire i denti, che possono essere salvati, con degli impianti è oggi da considerare attentamente e comunque come ultima spiaggia per consentire al paziente di mangiare e sorridere e non avere apparecchi rimovibili in bocca.

Se ti interessa
ricevere
informazioni
sull’argomento,
scrivici!

  • Consenso alla raccolta e alla gestione dei dati personali Con la compilazione di questo modulo si autorizza IRFOCOM s.r.l. e le societa' ad essa collegate a inserire il nominativo nel proprio indirizzario. In ogni momento, ai sensi del’art. 13 - Legge 31/12/1996 n. 675, si potra' aver accesso ai propri dati, chiederne la modifica o la cancellazione oppure opporsi al loro utilizzo scrivendo a IRFOCOM s.r.l. Bari tel. 080.501.05.53 - e-mail: info@cfmobari.it

© 2015 Nisio. Tutti i diritti riservati - Designed by Maggipinto Agency